See Explanation
[]
Gastroenterology
intestinal disorders
bowel perforation
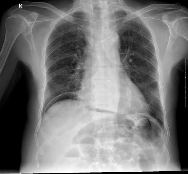
A 55-year-old woman arrives at an urgent care clinic complaining of acute, excruciating abdominal pain that began abruptly while she was working in her garden. She describes the pain as generalized and rapidly worsening over the last hour. She has a history of chronic low back pain for which she frequently uses over-the-counter naproxen, along with a history of gastroesophageal reflux disease, and smoking for 30 years. Upon examination, she is visibly distressed and her abdomen is diffusely rigid with marked tenderness to palpation and rebound. Bowel sounds are absent. Her temperature is 37.20C, blood pressure is 105/70 mmHg, pulse is 125/min, respirations are 24/min, and oxygen saturation is 96% on room air. Given this clinical presentation, what is the most appropriate diagnostic study and the immediate definitive management strategy?
| Lab Parameter | Value | Reference Range |
|---|---|---|
| White Blood Cell (WBC) count | 18.5 x 10^9/L | 4.0-10.0 x 10^9/L |
| Hemoglobin | 135 g/L | 120-160 g/L |
| Sodium | 138 mmol/L | 135-145 mmol/L |
| Potassium | 4.1 mmol/L | 3.5-5.0 mmol/L |
| Creatinine | 70 µmol/L | 45-90 µmol/L |
| C-reactive protein (CRP) | 45 mg/L | <5 mg/L |
Edit question
